瞭望ASH | 梁洋教授:骨髓脂肪细胞促发多发性骨髓瘤的机制研究

作者:肿瘤瞭望   日期:2021/12/13 10:04:50  浏览量:22085

肿瘤瞭望版权所有,谢绝任何形式转载,侵犯版权者必予法律追究。

2021年12月11-14日,全球血液学领域的年度盛典——第63届美国血液学会年会(ASH)即将拉开帷幕。回首过去的一年,新冠疫情仍然笼罩全球,它改变了世界,也改变着我们对自己的认知。2021,注定是不平凡的一年!在本届ASH大会上,中国学者的研究遍地开花,收获了累累硕果,让我们看到中国医生的坚韧和强大。本次大会报道,《肿瘤瞭望》特别推出“瞭望ASH—中国研究者说”,邀请这些榜上有名的中国研究者,通过小视频与大家“亲切会面”,介绍研究的来龙去脉、所思所想。

▌作者:束玲玲,梁洋

 
编者按:2021年12月11-14日,全球血液学领域的年度盛典——第63届美国血液学会年会(ASH)即将拉开帷幕。回首过去的一年,新冠疫情仍然笼罩全球,它改变了世界,也改变着我们对自己的认知。2021,注定是不平凡的一年!在本届ASH大会上,中国学者的研究遍地开花,收获了累累硕果,让我们看到中国医生的坚韧和强大。本次大会报道,《肿瘤瞭望》特别推出“瞭望ASH—中国研究者说”,邀请这些榜上有名的中国研究者,通过小视频与大家“亲切会面”,介绍研究的来龙去脉、所思所想。
 
本期我们荣幸地邀请到中山大学肿瘤防治中心梁洋教授,分享梁洋教授和束玲玲教授团队的一项大会口头报告(大会摘要号:892),该研究探讨了骨髓脂肪细胞(BMA)促进骨髓瘤发病的确切机制,并针对骨髓微环境的潜在治疗策略进行了有益探索。
 
多发性骨髓瘤(MM)是一种骨髓浆细胞恶性肿瘤,常见于中老年人和肥胖患者。MM患者经常遭受感染、贫血、骨痛以及肾脏问题。因此,迫切需要寻找治疗MM的新策略。肥胖与MM之间存在密切联系。既往研究表明,肥胖会增加MM的发病率和死亡率。肥胖可导致脂肪细胞在骨髓中异位积聚,从而导致骨髓微环境的改变。
 
骨髓微环境主要由细胞成分(基质细胞、脂肪细胞、成骨细胞、破骨细胞、免疫细胞等)和非细胞成分(细胞外基质和液体环境)组成。它调节宿主的营养、代谢和免疫,起着重要的生理作用。骨髓微环境的组成和功能变化与多种恶性肿瘤有关,包括肝癌、乳腺癌、前列腺癌和多发性骨髓瘤。其中,骨髓脂肪细胞(BMA)是一种独特类型的脂肪组织,含有小脂滴脂肪细胞,可分泌多种脂肪因子(脂联素和瘦素等)和炎症因子(白细胞介素6和肿瘤坏死因子-α),因而具有独特的免疫调节特性。
 
BMA在MM中的作用越来越受到关注。由于局部旁分泌、内分泌或代谢信号,BMA可能在MM肿瘤归巢、肿瘤进展、耐药性和骨破坏中发挥重要作用。尽管BMA占整个骨髓微环境体积的70%,但其机制仍不清楚。因此,我们进行了有关BMA如何促进MM的机制研究。
 
首先,我们招募了新诊断的MM患者及其相对健康的对照组,并根据他们的BMI分为两组。对骨髓活检不同组分进行转录分析、代谢组学、脂质组学分析和流式细胞术分析等,探讨肥胖对MM患者骨髓微环境的影响。
 
骨髓血清代谢组学分析表明,肥胖MM患者BM中的各种代谢组学发生了变化,如环己基氨基磺酸、L-脯氨酸。此外,相关分析表明,这些差异代谢物与患者的BMI密切相关。富集分析表明肥胖MM患者骨髓血清中甘油磷酸穿梭、甘油脂质代谢通路基因富集,提示骨髓脂肪细胞参与骨髓微环境代谢的调节。
 
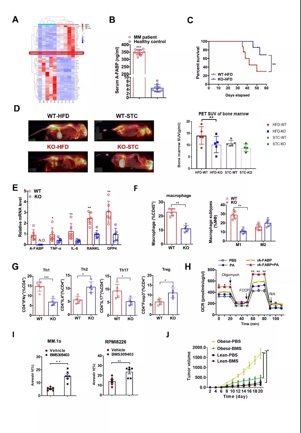
然后,我们研究了骨髓脂肪细胞的特征。RNA-seq分析表明,肥胖影响MM患者BMA的代谢特征。其中,我们发现MM患者血清中FABP4的表达显著增加,肥胖进一步增强了MM患者BMA中FABP4的表达。FABP4,也称为A-FABP或ap2,是一种脂肪酸伴侣蛋白,在脂肪细胞中大量表达,在脂质代谢和免疫应答中起着关键作用。FABP4可以促进脂肪细胞的脂肪分解,促进游离脂肪酸的运输,并调节许多重要转录因子的转录。此外,它在Ap-1和JNK之间形成正反馈环,并加速巨噬细胞的炎症反应。
 
为了进一步探讨FABP4在MM发病机制中的作用,我们采用4周龄的FABP4基因敲除(KO)小鼠及野生型同窝小鼠,并用高脂肪饮食(HFD)喂养12周以诱导肥胖。通过尾静脉将5TGM1骨髓瘤细胞注射到这些小鼠体内。通过检测M蛋白浓度监测MM的发病率。结果表明,与喂食HFD的野生同窝小鼠相比,FABP4-KO小鼠的肿瘤负荷显著降低,PET-CT分析进一步证实了这一点。此外,FABP4缺乏可显著改善喂食HFD小鼠的预后。
 
我们进一步分析了FABP4是如何调节小鼠骨髓微环境的机制,重点观察了促炎细胞因子TNFa、IL-6、RANK和DPP4的mRNA丰度。研究表明,FABP4-KO小鼠骨髓中巨噬细胞(MΦ)的浸润和促炎极化(M1/M2)显著降低。此外,我们注意到,在HFD诱导的小鼠BM中,FABP4促进Th1和Th17细胞的表达,而Th2和Treg细胞的百分比显著下降。
 
 
图A、源自MM患者的BMA转录组测序数据的分析显示其独特的基因表达谱;
 
图B、FABP4在MM患者的BMA中较健康人有显著增加;
 
图C&D、FABP4缺乏可显著减轻HFD喂养小鼠的肿瘤负担和MM相关的溶骨性病变;
 
图E、FABP4缺陷型脂肪细胞的TNFα、IL-6、RANKL和DPP4水平显著降低;
 
图F、流式细胞术分析显示,FABP4-KO骨髓中巨噬细胞(MΦ)的浸润和促炎极化(M1/M2)显著降低;
 
图G&I、FABP4促进Th1和Th17细胞的浸润,同时影响Th2和Treg细胞的募集。
 
我们接下来证明了重组FABP4蛋白可促进骨髓瘤细胞摄取游离脂肪酸,耗氧分析显示FABP4增强脂肪酸的氧化,提示FABP4可改变骨髓瘤细胞的能量代谢。
 
FABP4抑制剂BMS309403,一种小分子,通过口服灌胃在8周对照组或HFD诱导的空白小鼠中被采用。我们的研究结果表明,FABP4抑制剂可显著减轻HFD诱导小鼠的肿瘤负担和MM死亡率。骨髓微环境的动态变化有待进一步研究。
 
综上所述,这些发现支持了骨髓脂肪细胞在加剧MM进展中的因果作用,BMA重塑了MM患者骨髓微环境中的代谢和免疫,以应对肥胖。FABP4可促进骨髓瘤细胞对FAs的摄取和氧化,并调节骨髓微环境中不同免疫细胞的极化和分化,从而促进骨髓瘤细胞的增殖和侵袭。这项研究表明,FABP4的药理学抑制可能是治疗MM的一种有希望的治疗策略,尤其是针对骨髓微环境的肥胖MM患者。而更多的实验分析需要在不久的将来得到验证。
 
专家简介
 
 
梁洋教授
 
中山大学附属肿瘤医院血液肿瘤科主任、研究员、博士生导师
 
华南肿瘤学国家重点实验室课题组长
 
中华医学会血液学分会浆细胞疾病学组委员
 
中华医学会血液学分会中西整合医学学组委员
 
广东省高层次引进人才,珠江人才计划,中山大学“百人计划”学者
 
主要研究方向:血液肿瘤的病因发病机制及靶向治疗。在Cancer Cell等高水平同行评议专业杂志发表多篇临床及科研文章,累计引用次数1700余次,同时为Leukemia, JITC等高水平国际杂志审稿人。
 
 
束玲玲
 
专业特长:血液肿瘤代谢免疫精准治疗
 
2012年本科毕业于南方医科大学临床医学系
 
2017年获香港大学李嘉诚医学院内科系博士学位
 
2019年完成香港大学李嘉诚医学院内科系博士后培训,
 
中山大学百人计划,现任血液肿瘤科副研究员、中山大学硕士生导师。    

本内容仅供医学专业人士参考


骨髓脂肪细胞

分享到: 更多